본문 바로가기

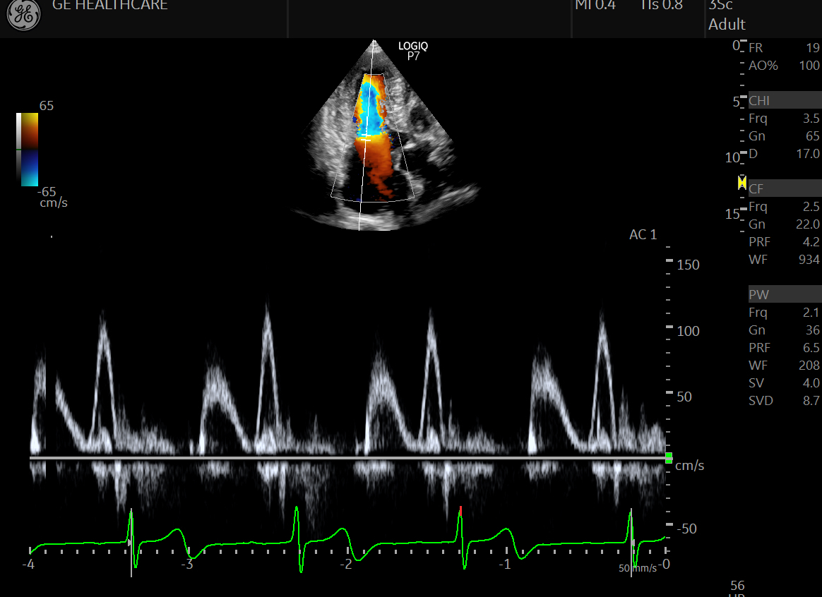
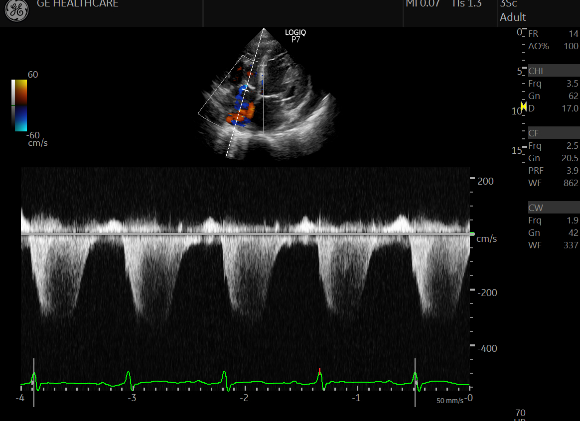
심장초음파 검사

초음파를 이용해 심장의 해부학적 구조와 기능을 

평가하는 검사법

심장 초음파는 초음파를 이용하여 실시간으로 심장의 움직이는 모습을 관찰할 수 있으며, 심장의 해부학적 구조의 이상, 심장 기능, 심장 내 압력 등을 실시간으로, 비침습적으로 관찰할 수 있는 검사법입니다.

대부분의 심장 질환에 매우 중요하게 사용되고 있으며, 많은 심장 질환에서 높은 정확도를 가집니다.

경흉부 심초음파, 경식도 심초음파, 운동 부하 심초음파, 도부타민 부하 심초음파, 어고노빈 부하 심초음파, 심근조영 심초음파, 삼차원 심초음파 등 몇 가지 형태로 구분하여 시행됩니다.